
심장 CT로 알 수 있는 모든 것: 건강 검진부터 질환 진단까지
심장 건강은 우리 삶의 질을 결정하는 중요한 요소 중 하나입니다. 심장 질환은 예방과 조기 진단이 매우 중요하며, 이를 위해 심장 CT 검사가 효과적인 방법으로 활용되고 있습니다. 심장 CT는 엑스선을 이용하여 심장의 해부학적 구조와 혈관 상태를 정밀하게 파악할 수 있는 검사입니다. 이 글에서는 심장 CT 검사가 무엇인지, 어떤 질환을 진단할 수 있는지, 그리고 검사 과정과 주의사항에 대해 자세히 알아보겠습니다.
심장 CT란 무엇일까요?


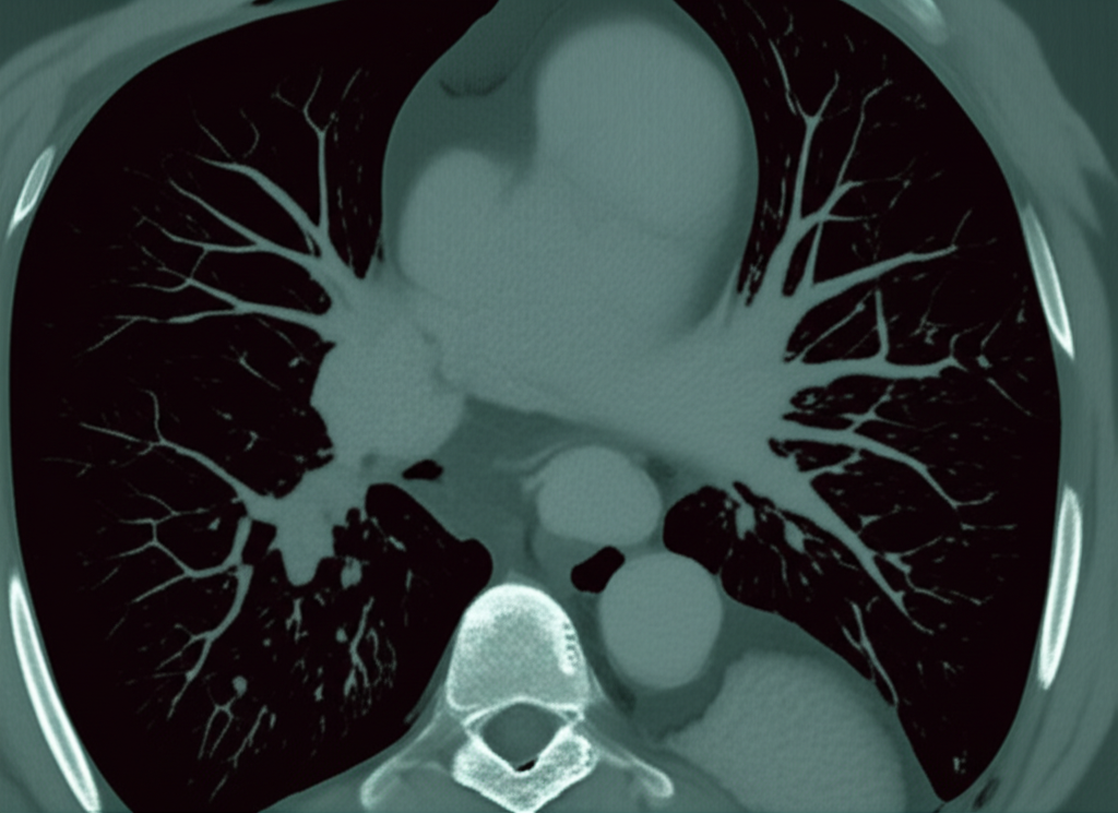
심장 CT(Computed Tomography)는 컴퓨터 단층 촬영 기술을 이용하여 심장의 단면 영상을 얻는 검사입니다. 기존의 엑스레이 촬영보다 훨씬 더 자세하고 정확한 이미지를 제공하여, 심장 질환의 조기 진단과 치료 계획 수립에 큰 도움을 줍니다. 심장 CT는 특히 관상동맥 질환, 심장 판막 질환, 심근 질환 등 다양한 심장 질환을 진단하는 데 유용합니다.
심장 CT로 알 수 있는 것들

심장 CT 검사를 통해 다음과 같은 다양한 정보를 얻을 수 있습니다.
- 관상동맥 질환 진단: 관상동맥 CT는 관상동맥의 협착이나 폐쇄 여부를 정확하게 진단할 수 있습니다. 특히, 칼슘 스코어링을 통해 동맥경화의 정도를 평가하고, 향후 심혈관 질환 발생 위험을 예측할 수 있습니다.
- 심장 구조 평가: 심장의 크기, 모양, 위치 등을 정확하게 파악하여 심장 비대, 심방중격결손, 심실중격결손 등 선천성 심장 질환이나 심장 구조 이상을 진단할 수 있습니다.
- 심장 기능 평가: 심장의 수축력과 이완력을 평가하여 심부전 진단에 도움을 줄 수 있습니다. 심장 CT는 심장의 각 부위별 기능을 평가하여, 심부전의 원인을 파악하는 데 중요한 정보를 제공합니다.
- 심장 종양 진단: 심장 내 종양의 유무와 크기, 위치 등을 파악하여 종양의 종류와 치료 계획을 결정하는 데 도움을 줄 수 있습니다.
- 심낭 질환 진단: 심낭염, 심낭삼출 등 심낭 질환을 진단하고, 심낭의 두께와 염증 정도를 평가할 수 있습니다.
- 대동맥 질환 진단: 대동맥류, 대동맥 박리 등 대동맥 질환을 진단하고, 대동맥의 크기와 모양을 평가할 수 있습니다.
심장 CT 검사 과정
심장 CT 검사는 다음과 같은 과정으로 진행됩니다.
- 사전 준비: 검사 전 금식 (보통 4-6시간)이 필요하며, 검사 당일에는 금연해야 합니다. 또한, 심박수를 조절하기 위해 필요에 따라 약물을 복용할 수 있습니다. 검사 전 의료진에게 복용 중인 약물이나 알레르기 병력 등을 반드시 알려야 합니다.
- 검사 자세: 검사대에 누워 팔을 머리 위로 올립니다. 심전도 장치를 부착하여 심장 박동을 모니터링합니다.
- 조영제 주입: 혈관을 통해 조영제를 주입합니다. 조영제는 혈관을 더 잘 보이게 하여 심장 CT 영상의 질을 향상시킵니다. 조영제 주입 시 일시적으로 화끈거리는 느낌이나 메스꺼움이 있을 수 있습니다.
- CT 촬영: 숨을 참은 상태에서 CT 촬영을 진행합니다. 촬영 시간은 보통 10-15분 정도 소요됩니다.
- 검사 후 관리: 검사 후 충분한 수분 섭취를 통해 조영제가 몸 밖으로 배출되도록 돕습니다. 드물게 조영제 부작용이 발생할 수 있으므로, 검사 후 이상 증상이 나타나면 즉시 의료진에게 알려야 합니다.
심장 CT 검사 전후 주의사항
심장 CT 검사를 받기 전후에는 다음과 같은 사항에 유의해야 합니다.



- 검사 전:
- 금식 시간을 지켜야 합니다.
- 검사 당일에는 금연해야 합니다.
- 복용 중인 약물이나 알레르기 병력을 의료진에게 알려야 합니다.
- 임신 가능성이 있는 경우, 반드시 의료진에게 알려야 합니다.
- 검사 후:
- 충분한 수분 섭취를 통해 조영제가 몸 밖으로 배출되도록 돕습니다.
- 조영제 부작용 발생 여부를 주의 깊게 관찰합니다.
- 이상 증상이 나타나면 즉시 의료진에게 알립니다.
심장 CT 검사의 장점과 단점
심장 CT 검사는 다양한 장점을 가지고 있지만, 몇 가지 단점도 존재합니다.
장점
- 비침습적 검사: 피부를 절개하거나 몸속에 기구를 삽입하지 않고 검사를 진행하므로, 환자의 부담이 적습니다.
- 빠른 검사 시간: 검사 시간이 짧아 환자가 편안하게 검사를 받을 수 있습니다.
- 정확한 진단: 심장의 해부학적 구조와 혈관 상태를 정밀하게 파악하여 정확한 진단이 가능합니다.
- 조기 진단 가능: 심장 질환을 조기에 진단하여 예방 및 치료 효과를 높일 수 있습니다.
단점
- 방사선 노출: 엑스선을 이용하는 검사이기 때문에 방사선에 노출될 수 있습니다. 하지만, 최근에는 방사선량을 최소화하는 기술이 개발되어 사용되고 있습니다.
- 조영제 부작용: 조영제 사용으로 인해 드물게 부작용이 발생할 수 있습니다. 특히, 신장 기능이 저하된 환자나 조영제 알레르기 병력이 있는 환자는 주의해야 합니다.
- 심박수 조절 필요: 심박수가 너무 빠르면 영상의 질이 떨어질 수 있으므로, 심박수를 조절해야 할 수 있습니다.
FAQ (자주 묻는 질문)
Q1: 심장 CT 검사는 얼마나 자주 받아야 하나요?
A1: 심장 CT 검사 빈도는 개인의 건강 상태와 위험 요인에 따라 다릅니다. 의사와 상담하여 적절한 검사 주기를 결정하는 것이 좋습니다. 일반적으로 심혈관 질환 위험이 높은 경우 (고혈압, 고지혈증, 당뇨병, 흡연 등) 정기적인 검사가 권장됩니다.
Q2: 심장 CT 검사 비용은 얼마인가요?

A2: 심장 CT 검사 비용은 병원마다 다를 수 있으며, 검사 종류 (관상동맥 CT, 칼슘 스코어링 등)에 따라 달라질 수 있습니다. 정확한 검사 비용은 해당 병원에 문의하는 것이 좋습니다.
Q3: 심장 CT 검사 결과는 언제 나오나요?
A3: 심장 CT 검사 결과는 보통 1-2일 후에 확인할 수 있습니다. 검사 결과에 따라 추가 검사나 치료가 필요할 수 있습니다.


Q4: 심장 CT 검사 시 조영제를 꼭 사용해야 하나요?
A4: 심장 CT 검사 시 조영제를 사용하면 혈관을 더 잘 보이게 하여 영상의 질을 향상시킬 수 있습니다. 하지만, 조영제 사용 여부는 환자의 상태와 검사 목적에 따라 결정됩니다.
결론
심장 CT 검사는 심장 질환을 조기에 진단하고 예방하는 데 매우 유용한 검사입니다. 정기적인 심장 CT 검사를 통해 심장 건강을 지키고, 건강한 삶을 유지하시기 바랍니다. 심장 CT 검사에 대한 궁금한 점이 있다면, 반드시 전문의와 상담하여 정확한 정보를 얻으시기 바랍니다. 심장 CT는 여러분의 심혈관 건강을 지키는 데 중요한 역할을 할 수 있습니다.
배가 살살 아픈 이유 혹시 나도? 원인과 대처법
배가 살살 아픈 이유, 무엇일까요? 😩일상생활을 하다 보면 갑자기 배가 살살 아파오는 경험, 다들 한 번쯤은 있으실 텐데요. 콕 집어 말하기 어려운 불편함과 함께 ‘왜 이러지?’라는 궁금증
cc.moneylife2234.com
가슴이 콕콕 찌르는 증상 원인
가슴이 콕콕 찌르는 증상, 원인부터 해결까지 2025년 최신 정보 총정리가슴이 콕콕 찌르는 증상, 갑작스럽게 찾아오는 통증에 놀라신 적 있으신가요? 숨을 쉴 때마다, 혹은 특정 자세를 취할 때
cc.moneylife2234.com
부정맥 원인 증상, 진단, 예방 및 치료법
부정맥 원인, 제대로 알고 건강 지키기부정맥은 심장이 불규칙하게 뛰는 상태를 말합니다. 정상적인 심장 박동은 규칙적인 리듬을 유지하지만, 부정맥이 발생하면 너무 빠르거나 느리거나 불규
cc.moneylife2234.com
